Histogram equalization(HE)은 histogram을 이용해서 이미지의 contrast을 조정하는 영상처리 기법이다. 히스토그램을 얻기 위해서 전체 이미지 픽셀을 사용하는 전역 HE와 각 픽셀을 중심으로 하는 국소 윈도의 픽셀만 가지고 만든 히스토그램을 이용한 국소 HE이 있다.
여기서는 각 픽셀에 대해서 정사각형의 국소 윈도(wsize x wsize)를 잡고, 이 윈도 영역의 국소 히스토그램 정보를 이용해서 HE를 수행한다. 각 윈도 안 픽셀의 히스토그램이 $\{h[i]\}$로 주어질 때, 윈도 중심에서의 픽셀 값 $j$는
$$j \quad \longrightarrow \quad \frac{255}{\text{total pixels}}\sum_{k=0}^{j} h[k],$$
로 변환된다. 국소 히스토그램 $h[i]$은 running algorithm을 이용하면 빠르게 계산할 수 있다. 단, 국소 윈도가 이미지 영역 내에 있도록 선택했기 때문에 경계 부근의 픽셀은 윈도 중심이 아니다.
//
void localHistogramEqualization(BYTE *image, int width, int height, int wsize,/*window size*/
BYTE *out)
{
int hwsize = wsize >> 1;
wsize = (hwsize << 1) + 1; //odd #;
int topstop = height - wsize;
int leftstop = width - wsize;
for (int y = 0, offset = 0; y < height; y++, offset += width) {
int top = y - hwsize;
top = top < 0 ? 0 : top > topstop ? topstop : top;
BYTE *imgrow = &image[offset];
BYTE *outrow = &out[offset];
for (int x = 0; x < width; x++) {
int left = x - hwsize;
left = left < 0 ? 0 : left > leftstop ? leftstop : left;
// make local histogram;
int histo[256] = {0};
int yy = 0, woffset = top * width + left;
for (; yy < wsize; yy++, woffset += width) {
BYTE *winrow = &image[woffset];
for (int xx = 0; xx < wsize; xx++)
histo[winrow[xx]]++;
}
int level = imgrow[x];
int csum = 0; // 0-th cumulative sum up to level;
for (int k = 0; k <= level; k++) csum += histo[k];
// apply local histogram eq.
int a = int((255.0 * csum)/(wsize * wsize)) ;
outrow[x] = (a & ~255) == 0 ? a: a < 0 ? 0: 255;
}
}
}
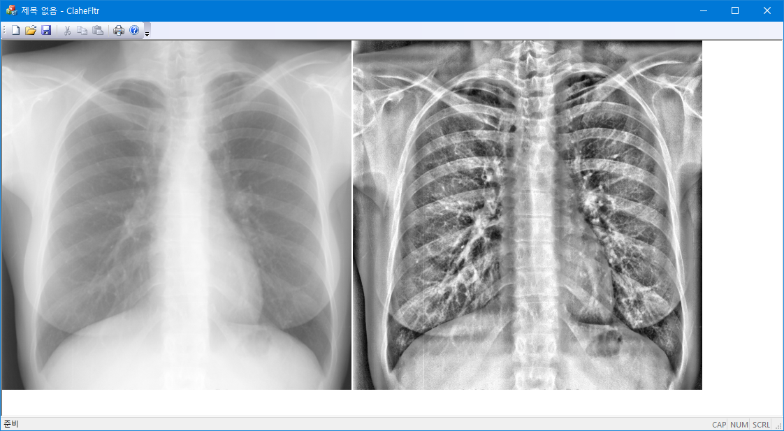
원본:
*global:
*local: wsize=51;
** CLAHE 적용: tile size = 20x 20

728x90
'Image Recognition' 카테고리의 다른 글
| Autofocus Algorithm (0) | 2012.06.03 |
|---|---|
| Statistical Region Merging (3) | 2012.03.25 |
| 2차원 Savitzky-Golay Filters 응용 (0) | 2012.02.28 |
| webcam용 QR code detector (0) | 2012.02.19 |
| Least Squares Estimation of Perspective Transformation (5) | 2012.02.15 |

